
It’s All About Precision
It's all about precision. Today’s refractive cataract surgery (i. e. , personalized custom lens implants that can replace life-long glasses) can transform the way one sees the world. In this month’s issue of EyeWorld, Tal Raviv joins his internationally renow...
View More
Management of Complex Cases
Dr. Raviv and colleagues discuss managing complex cataracts in this month's issue of EyeWorld magazine. At the Eye Center of New York, our goal is to transform a complex, sight-threatening cataract into a transformational visual outcome...
View More
Dr. Raviv and Colleagues Discuss Toric IOLs in Latest edition of EyeWorld Magazine
Dr. Raviv & colleagues discuss Toric IOLs in refractive cataract surgery in the latest edition of EyeWorld Magazine. Read the article →...
View More
Dr. Raviv Featured in Monograph on MGD
Dry eye disease frequently coexists in cataract surgery patients. One common form of dry eye is Meibomian Gland Disease MGD. In this panel discussion monograph, Dr. Raviv and colleagues discuss their approach to identifying and treating MGD. Read the article → ...
View More
Dr. Raviv Wins Award for Presentation at ASCRS 2019
Dr. Raviv was voted the winner of the second season of The Voice of Ophthalmology for his presentation on endophthalmitis prophylaxis with intracameral antibiotics at the 2019 ASCRS ASOA Annual Meeting...
View More
DR. RAVIV INTERVIEWED ON THE DRY EYE COACH PODCAST
Listen to Dr. Raviv on The Dry Eye Coach Podcast discussing dry eye in the setting of cataract surgery. Your browser does not support the audio element...
View More
Eye Center of New York Offers Latest in Minimally-Invasive Microstents
If you take drops for glaucoma and have a cataract, we can fix both problems simultaneously with the newest minimally invasive microstents. We now offer the latest FDA approved micro-invasive glaucoma surgery (MIGS) microstents - the Hydrus; as well as the first and second ...
View More
Dr. Raviv Interviewed by AARP
AARP followed Dr. Raviv into the OR to see the latest developments in ophthalmic surgery. Read the Article →...
View More
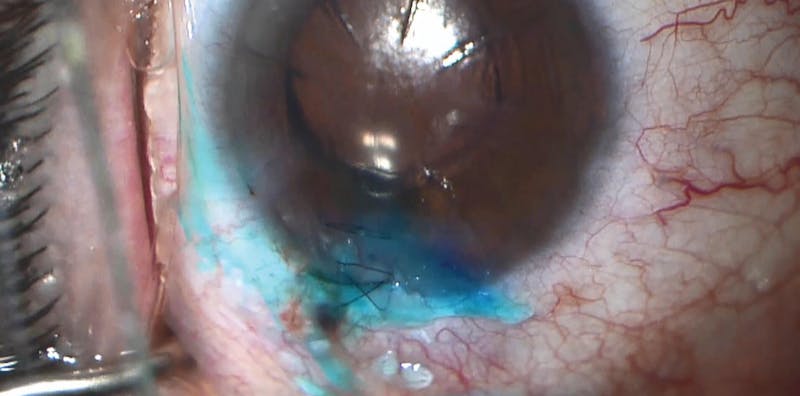
Wound Sealing and Stromal Hydration
In the March issue of CRSToday, Dr. Raviv describes the latest in ocular sealants (tissue glue) and when to utilize them in cataract surgery. Read the Article →...
View More
Software and Apps to Improve Today’s Cataract Surgeon
Here are some apps and technologies we utilize in our eye care practice. We strive to make the patient experience fluid, efficient, and intuitive - not your traditional old-school clipboard and fax practice. Watch the Video →...
View More
Dr. Raviv Discusses How Dry Eye and Other Conditions Can Affect Cataract Outcomes
Dr. Raviv explains how Dry Eye and other conditions can affect cataract surgery outcomes...
View More
Tal Raviv, MD, Presents at 2018 American Academy of Ophthalmology
Dr. Raviv attended and presented at the 2018 American Academy of Ophthalmology meeting in Chicago, Illinois on the latest in cataract and refractive surgery...
View More